Khám phá nội dung hấp dẫn và quan điểm đa dạng trên trang Khám phá của chúng tôi. Khám phá những ý tưởng mới và tham gia vào các cuộc trò chuyện có ý nghĩa
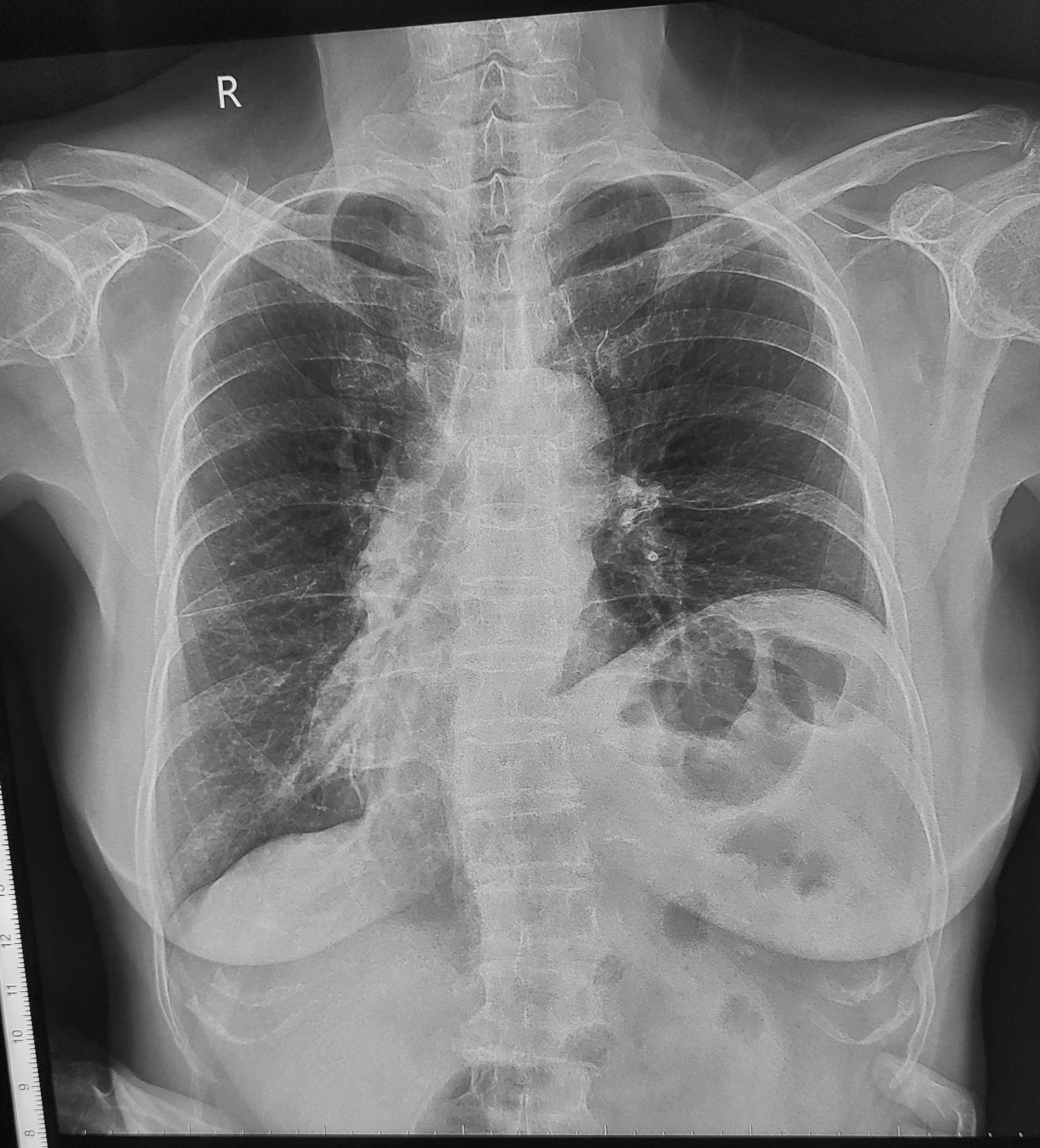
Bệnh nhân nữ 22 tuổi. Đau ngực khi thở trong vài ngày nay và khó thở. Đến phòng cấp cứu do các triệu chứng này, với CRP tăng nhẹ 44, D-dimer 5.2 µg/mL (bình thường <0.5 µg/mL), TnT bình thường, CTM bình thường. Không ghi nhận triệu chứng khác. Thỉnh thoảng hút thuốc, uống bia chủ yếu với bạn bè vào cuối tuần, không quá nhiều. Không có tiền sử bệnh mãn tính. Đang dùng thuốc tránh thai. HA 110/80, M 100.
ECG
Bệnh nhân nữ 22 tuổi. Đau ngực khi thở trong vài ngày nay và khó thở. Đến phòng cấp cứu do các triệu chứng này, với CRP tăng nhẹ 44, D-dimer 5.2 µg/mL (bình thường <0.5 µg/mL), TnT bình thường, CTM bình thường. Không ghi nhận triệu chứng khác. Thỉnh thoảng hút thuốc, uống bia chủ yếu với bạn bè vào cuối tuần, không quá nhiều. Không có tiền sử bệnh mãn tính. Đang dùng thuốc tránh thai. HA 110/80, M 100.
ECG
Bệnh nhân nữ 22 tuổi. Đau ngực khi thở trong vài ngày nay và khó thở. Đến phòng cấp cứu do các triệu chứng này, với CRP tăng nhẹ 44, D-dimer 5.2 µg/mL (bình thường <0.5 µg/mL), TnT bình thường, CTM bình thường. Không ghi nhận triệu chứng khác. Thỉnh thoảng hút thuốc, uống bia chủ yếu với bạn bè vào cuối tuần, không quá nhiều. Không có tiền sử bệnh mãn tính. Đang dùng thuốc tránh thai. HA 110/80, M 100.
ECG


#xq Bn nữ 68t đau lưng, lan xuống mông, đùi, cẳng chân
.
.
.
Nhận định cá nhân: Trượt đốt sống L4 ra trước (độ 1). Hẹp khe đĩa đệm L4-L5, L5-S1. Gai xương L3-L4
#ecg case sưu tầm: bệnh nhân nam 41 tuổi vào viện với lý do đau ngực, thất ngôn, yếu 1/2 người phải 2 ngày nay.
.
.
.
Nhận định cá nhân: Nhịp xoang. Tăng Áp lực nội sọ (QT dài + T âm khổng lồ). TD TMCT (R cắt cụt Trước ngực)
VIÊM TAI GIỮA THỦNG NHĨ BỘI NHIỄM NẤM
#casetaimuihong Bn nam 70t tiền sử THA/RLLM đang điều trị ổn tại TYT.
_Đến khám vì Mất thính lực đột ngột tai P + đi loạng choạng không vững. Bn có thói quen lấy ráy tai ngoài tiệm cắt tóc.
_Soi tai thấy Nấm khắp tai, màng nhĩ không nhìn rõ (Nghi thủng nhĩ). Sau khi làm nghiệm pháp Valsava thấy phần di động là phần màng nhĩ còn lại và sâu là các cấu trúc tai trong.
Chẩn đoán nghi ngờ: Viêm tai giữa mạn có thủng nhĩ bội nhiễm nấm + ảnh hưởng tai trong (hệ tiền đình-ốc tai)
==> chuyển tuyến trên để thăm khám tai mũi họng.